Prescan: useful or just a medical adventure?
When a friend asked if I wanted to join him for a two day medical ‘prescan’ trip to Germany, my first reaction was ‘no way!’ Why would I put my healthy body through all kinds of medical procedures? But then I realized that my mom just had breast cancer and my father was diagnosed with Alzheimer. Maybe a pre-scan could determine if I was at risk for anything? But then why do a prescan in Europe, where it is more expensive, and not in Thailand where I will be this winter? I do some online research and find many great hospitals in Bangkok and Chiang Mai where I am going to stay. But a little voice in the back of my mind tells me: “say yes to this friend. Do the prescan in Germany, this summer”. I was surprised to hear my intuition so clearly, advising me to do something completely against my ratio. But I am getting more and more used to listening to that voice, so I said “yes”. I would have everything checked and it was going to be an ‘adventure’…
An unlogical diet
The adventure already started when I received the ‘diet’ requirements before the stomach and intestine research, part of the ‘executive package’. They were going to put tiny cameras in my body and in order to see anything my body needed to be empty. So four days before the prescan I already had to start a diet that was easy to ‘flush out’ before the prescan. The diet went against everything I know about food. Only white bread, pasta and rice. Hardly any fruit and only a few vegetables, like cauliflower and beets, cooked through and through. No fibers, no seeds and nuts, no leafy vegetables; instead only lots of sugar. This ‘diet’ was so completely different from what I normally eat; the days before the prescan I already felt weaker and weaker.
Flush your system
Prescan booked a hotel for us the night before and after, because the ‘slight sedation’ they were talking about, turned out to be serious anesthetics, so we weren’t even allowed to drive. The hotel owner apparently knew exactly what the purpose of our visit was, because (punctual as Germans are) she called the day before, asking if we would arrive before 6PM “because that is when you have to start taking your laxatives…” So far for discretion… 😉


The evening before the prescan I had to drink a liter of laxative, a horrible, heavy, salty drink with artificial fruit flavor. And the next morning another liter. Everything in my body screamed ‘no’, but I agreed to do it, so I forced myself to go ahead with it. I spent 1,5 day in bed like a zombie, just waiting for this ‘thing’ to be over. Like during the 7 day fast I did in Thailand two years ago, I realized how important food is for my body and especially my mind (more details in my blog: ‘Fasting with a foodie’). I just can’t think or function when it doesn’t get proper nutrition. I wonder how people who really suffer from hunger and malnutrition can keep functioning. Can you imagine living in a poor country, having no job, having to take care of a family, trying to find work, all on an empty stomach? Pffff, respect.
The prescan experience
Around the time of the doctor’s appointment, I was ready, ready to get it over with. Not nervous, but rather mildly curious for my first hospital experience ever. Prescan has their own reception and offices in the hospital. Everybody is very friendly and professional. Several Dutch business men were lined up to go through the same procedure. One even showed up in our hotel room the night before. Our bathroom door was open to the patio and he thought he had entered his own hotel room. I don’t know who got more of a scare: him or us… We meet him again in the waiting room… awkward… J The first procedure is the gastroscopy and colonoscopy (stomach and intestine research with a tiny camera). I was asked to wear a typical hospital gown and was put in a hospital room. The prescan people explain what is going to happen, but once they are gone, you are left with the German nurses. They are very professional, but not very customer friendly. Even ‘lift your head’ (without ‘please’, without any explanation why you need to lift your head) sounds like a horrible command in German. “HEAD UP!” They could not put the IV in my left arm so they tried the right arm. I ended up with two bruised arms. I had heard that they would count with you till you ‘went under’, but I heard somebody say something about sleep and already I felt myself floating away…
Next thing I know I am slowly waking up. First I became aware that I was sleeping, then I realized I was in a quiet room somewhere. I slowly woke up, taking my time, no hurry. I felt no pain or discomfort at all. When a nurse came to ask how I was feeling, I realized I must be a bit stoned… I felt so relaxed! Not nauseous, nothing. I had been warned that anesthetics is a big thing for your body, but to be honest, this entire procedure was a breeze. I had no memories of the procedure, did not even feel that they had forced a plastic tube with cameras through my throat. Really, I was surprised that they can do all these things to a body while they make your mind ‘go away’ for a little while. Kind of scary, come to think of it…


Sleep and food
After the procedure they offer you a white sandwich with cheese and a coffee. My entire system had just been emptied and abused and I did not feel like putting more ‘garbage’ in there. So, obsessed as I am with food, I had brought the things that I know my body would need: coconut water, coconut yoghurt and papaya. Fresh, gentle, restoring foods, instead of aggressive ones, like coffee, or empty ones like white bread and cheese. Even though I felt OK, when I had to get into a taxi I realized I was still a bit ‘stoned’. Bumping into doorways, moving very slowly and disoriented. Back in the hotel I slept all afternoon. Needless to say that dinner that evening tasted like the best food ever. I had asked for vegan food, because I heard that when you have a ‘clean system’ it is better to start eating very selectively.
Tunnel vision
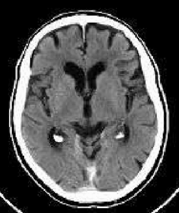
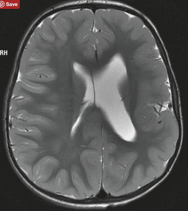
The next day was in another hospital: an MRI scan of the entire body and brain, a cardiology test, breast research and some other stuff. I was a bit nervous about the MRI. I am very sensitive to electro magnetic fields. How would I feel about going into this electro magnetic tunnel, not being able to move for 45 mins? And what about the contrast liquid they would put into my body? I felt slightly nauseous, just thinking about it. Fortunately the doctor recommended doing the MRI without contrast liquid, since it was preventative and we were not looking for something specific. A few minutes later I found myself being prepared to go into the MRI ‘tunnel’. It is interesting that if you do this as part of a prescan, you feel completely different than when you are sick. No nervousness about what they are going to find, no discomfort, no stress, just a mild curiosity. The sound the MRI makes is very loud. Like standing in front of the speakers of a techno festival… Strange enough, it kind of relaxed me. I had no problems at all being completely immobile for 45 mins. Weird, because when I try to meditate, I can’t sit still for 5 minutes! Afterwards the radiologist explains the 1500(!) MRI pictures taken of my body and brain. Except for some small damage from the whiplash, visible in my brain, there is nothing remarkable. Alzheimer’s not measurable on MRI, unfortunately. Oh, by the way, he mentions that my brain has asymmetric brain ventricles (fluid chambers). Normal ventricles look something like the first picture and mine look more like the second one (but then reversed: my ventricles are on the left side of my brain):


He explains this has been the way like this since I was born and it’s nothing to worry about. He also says it is not quite common. Anybody has any information on this?
Home is where the heart is
Next is the cardiologist. During the cardiogram (electrodes and echo to measure your heart function), I asked the cardiologist for an explanation of what we saw on the screen. He pointed out my four heart chambers and aorta. I saw the valves pumping my blood from one chamber to the next. Then he added colors and I could see oxygen rich and poor blood being pumped around. I was in awe of this awesome process, that goes on and on without us interfering. I felt an immense respect for my body. During the breathing test I scored 7% higher than average for my age group. The biking test also went well. Thanks to Bob Aerohfit, my virtual personal trainer, I am in good shape.
Value for money?
So far, so good. If this is what I go home with, I am happy to have confirmed that I am healthy. But of course I would also wonder if this was worth spending almost €2500 on. But the last research, the breast research, did provide that value. Because I am not registered in The Netherlands, I am not part of the government’s early detection ‘bevolkingsonderzoek’ that tests all women regularly. So this echography seems like a good idea, especially since my mom had had breast cancer recently. The doctor researched everything with the typical German ‘Grundlichkeit’. She takes time to explain every shadow, dot and color difference on the screen. I don’t have any complaints, but the echo showed some irregularities. She recommended to make a mammography, which could be arranged immediately. The x-ray pictures were studied carefully and more enlarged pictures ordered. Nothing serious, but something to keep an eye on. She recommends more pictures and a second opinion in three months. I will be in Thailand then! So I will take the report I get and the DVD with pictures to a hospital there and will hopefully hear that everything is OK.
Overall experience
I am impressed with the efficiency of the German prescan system. It was an interesting experience, but I am ready to leave the hospital and get back to my normal life.

To prescan or not to prescan?
Some say prescans are unnecessary: they provide a temporary picture. Others say it’s too invasive for a healthy body. Yet others insist that prescans have discovered issues that could have otherwise become a big health problem. What is your opinion?
Energy management for people with a passion
If you have read this far, you are probably dedicated to taking good care of your body and mind. I explore the ways I take care of myself, especially my energy management, in a live online workshop for ‘people with a passion’. Check out if the workshop ‘‘Light your fire, without the burnout‘ could be of interest to you.